

백혈병과 자가면역질환에 대한 골수 조혈모세포 이식
백혈병이나 자가면역질환에 걸린 환자들에게 골수 조혈모세포 이식이 사용되는 치료 방법에 대해 들어보셨을 것입니다. 이 방법은 정확히 말하면 자가면역질환 환자들에게 치료를 위해 골수 조혈모세포를 이식하는 시술입니다.
이 방법은 면역세포를 모두 제거한 후에 건강한 조혈모세포를 이식하여 면역 체계를 새롭게 바꾸는 개념입니다. 이러한 치료 방법은 백혈병에만 적용되는 것으로 생각될 수 있지만, 류마티스 관절염이나 루푸스와 같은 다른 자가면역질환에도 응용되고 있습니다.


조혈모세포 기증을 위한 채취 과정
전신마취 없이도 채취 가능한 방법이 개발됨 과거에는 조혈모세포 기증을 위해 기증자에게 전신마취를 해야했고, 어려운 과정이기 때문에 기증을 꺼리는 경우도 많았습니다. 그러나 최근에는 전신마취 없이도 조혈모세포를 채취할 수 있는 방법이 개발되었다고 합니다.
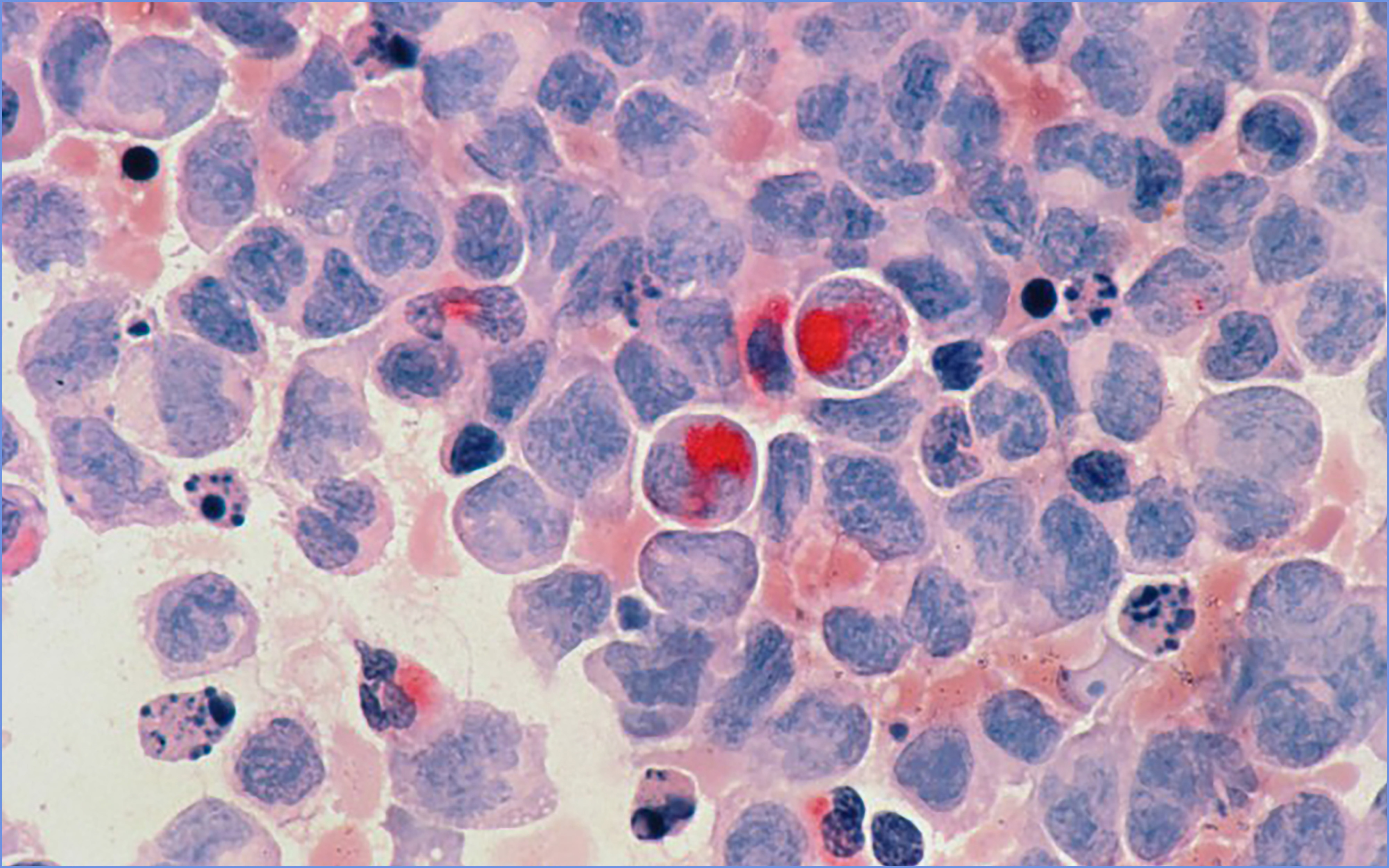
조혈모세포는 혈액세포를 생성하는 줄기세포를 의미하며, 혈액세포의 생성과정을 조혈작용이라고 합니다. 이 작용은 뼈 중심에 위치한 적색골수에서 시작됩니다.

조혈모세포 기증 절차
18세~40세 미만의 건강한 사람들이 기증 가능 조혈모세포 기증은 18세에서 40세 미만이며 건강한 사람들에게 가능합니다. 대한적십자사, 한마음한몸 운동본부, 가톨릭 조혈모세포 은행, 한국조혈모세포 은행협회, 생명나눔 실천본부와 같은 기관을 통해 기증이 가능합니다.
기증희망 등록을 마치면 조직이나 항원이 일치하는 환자가 발견되었을 때 최종 기증 의사를 확정합니다. 기증자의 건강 상태를 체크합니다. 골수기증을 위해 채취를 합니다.
촉진제 주사로 백혈구 수치를 높이고, 혈액분반기를 통해 정맥에서 말초조혈모세포를 채취합니다. 퇴원 후에는 일상생활이 가능하며, 조혈모세포는 약 3주 정도에 걸쳐 회복됩니다. 기증 과정은 3~4일 정도의 입원이 필요하며, 채취 과정은 약 5시간 정도 소요됩니다.
기증을 결정한 후에는 번복하여 철회할 수 없습니다.

백혈병에 대한 조혈모세포 이식의 필요성
생명을 구하는 중요한 치료 백혈병이나 혈액암 환자들은 건강한 혈액세포를 생성할 수 없기 때문에 조혈모세포 이식이 필요합니다. 조혈모세포 이식은 조혈모세포가 정상적으로 혈액세포를 생성할 수 있도록 하여 생명을 구할 수 있는 중요한 치료 방법입니다.
이식 과정은 쉽고 간편하지 않지만, 예전처럼 전신마취 후 골수를 채취하는 것이 아닌 헌혈과 비슷한 과정을 통해 채취하게 되어 부담이 줄어들었습니다. 또한, 이식은 유전적으로 일치해야 가능하기 때문에 기증을 하고 싶다고 해서 무조건 할 수 있는 것은 아닙니다.
또, 기증은 강요할 수 없는 부분이지만, 한 생명을 살리는 중요한 일임은 분명합니다.
'건강상식' 카테고리의 다른 글
| 골반교정, 골반 틀어짐 증상과 출산 후 임산부 왼쪽 허리 골반 통증 (0) | 2023.06.26 |
|---|---|
| 변비 원인과 증상, 변비에 좋은 음식과 관장하는법 약 알아보기 (0) | 2023.06.26 |
| 피부 종기, 겨드랑이 모낭염 원인과 치료 가슴 엉덩이 사타구니 모낭염 (0) | 2023.06.26 |
| 미레나 카일리나 시술과 제거, 체중증가 여성 피임 방법과 남자 피임약 (0) | 2023.06.26 |
| 방광염 증상, 소변 혈뇨 간질성 과민성 방광염 치료 항생제 약 (0) | 2023.06.26 |