고립성 폐결절과 간유리음영 치료와 예방법


폐유리음영결절
정의: 작고 불투명한 음영 결절로, 페포의 간질에만 자라는 선암의 전 단계
폐유리음영결절은 작고 불투명한 음영 결절로 페포의 간질에만 자라는 암입니다. 이 상태는 선암의 전 단계로 간주되며, 흉부 CT 촬영을 통해서만 확인할 수 있습니다. 이름은 유리를 갈아서 뿌린 것과 유사한 모습 때문에 붙여진 것입니다. 일부 경우에는 자연 치유되어 사라질 수 있으나, 크기가 증가하고 결절이 형성되면 폐암의 가능성이 높아집니다.
암으로 진행될 확률이 높기 때문에 조기 발견과 치료가 중요합니다.

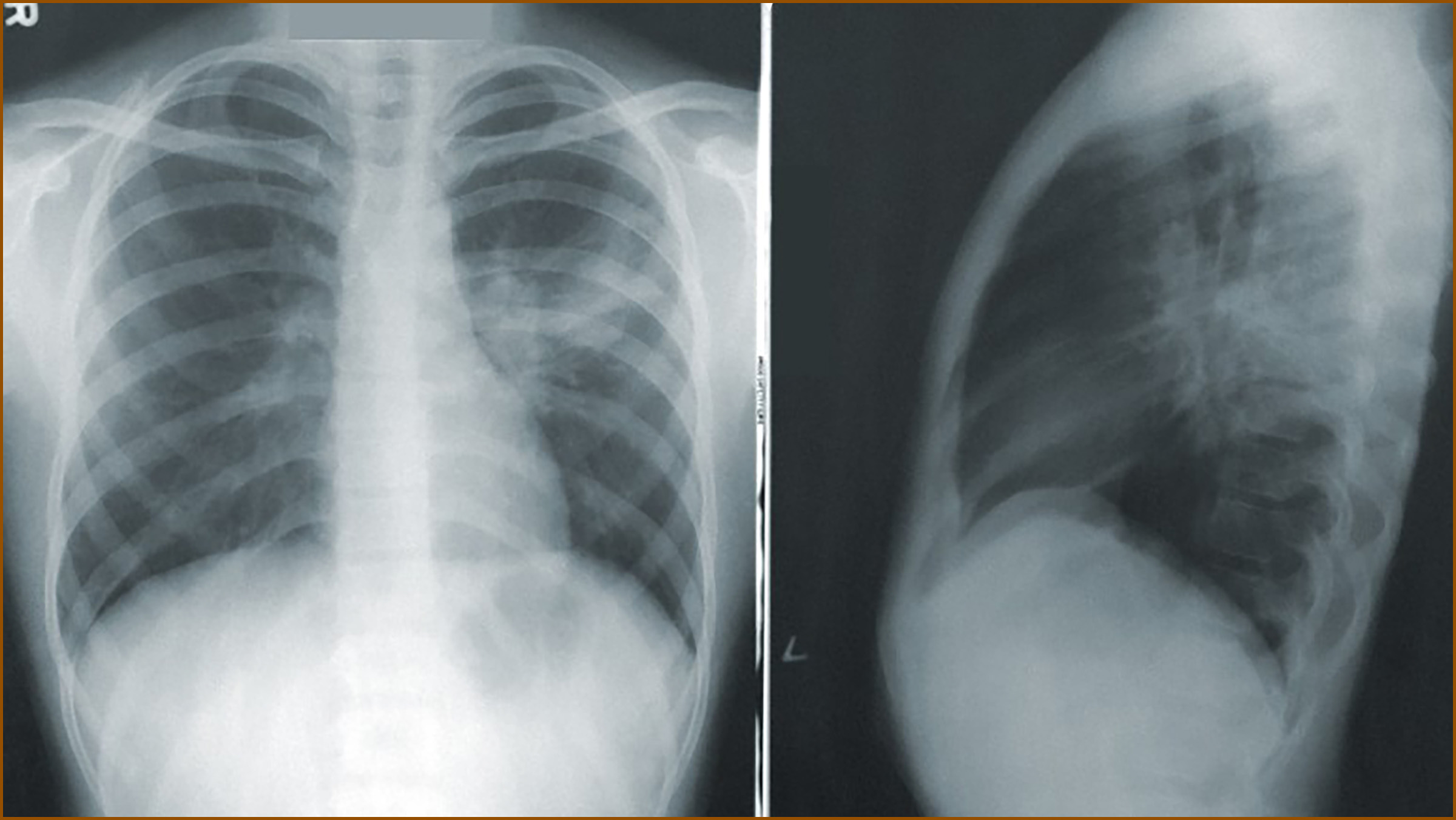
고립성 폐결절
정의: 폐 내부에 위치하며 흉벽에 붙어있지 않은 종괴
고립성 폐결절은 폐 내부에 생긴 구상 병변으로, 흉벽에 붙어있지 않고 폐 내부에 위치합니다. 1개의 종괴만 발견되기 때문에 고립성 폐결절이라고 부릅니다. 지름이 3cm 이하로 작은 크기를 가지며, 3cm를 넘어가면 조양이나 혹이라고 불립니다.
초기에는 무증상으로 알기 어려우나, 기침, 가래, 호흡 문제 등과 같은 폐질환과 유사한 증상이 나타날 수 있습니다. 폐결절은 악성 종양이 원인으로 밝혀진 성인의 약 35%에서 발견되며, 흡연자인 경우 폐결절 발생 확률이 더 높아집니다.
흉부 엑스레이 촬영 중 우연히 발견되는 경우가 많으며, 이는 초기 단계일 가능성이 높습니다. 어떤 병이든 초기 발견과 치료가 중요하므로 폐결절의 조기 발견과 치료가 중요합니다. 림프절이나 다른 장기로 전이될 수 있으며, 이 경우 예후가 좋지 않으며 나이가 많을수록 악성 종양으로 발전할 가능성이 큽니다.


폐결절의 치료
수술을 통한 절제
악성 종양을 의심할 경우, 수술을 통해 절제하는 것이 일반적입니다. 무증상이고 크기가 계속 커지지 않는 경우 관찰로 진행될 수도 있습니다. 그러나 전이 가능성을 염두에 두고 검사를 진행하며, 검사 결과를 토대로 수술의 범위와 방법을 결정합니다. 최근에는 개흉 수술보다는 흉강경을 이용한 수술이 더 많이 사용되고 있습니다. 이는 복강경 수술과 유사한 방법으로 진행되며 수술의 장점을 가지고 있습니다.

폐결절의 예방법
금연
폐에 해로운 요소 중 가장 주요한 것은 흡연입니다. 폐암 예방을 위해서는 금연이 가장 좋은 방법으로 알려져 있습니다. 매년 흉부 CT 검진을 받으면서 금연을 실천한다면 폐암 발생률을 20%까지 감소시킬 수 있습니다.
폐암과 폐결절은 조기 발견과 적절한 치료가 중요합니다. 정기적인 검진과 흡연을 포함한 건강한 라이프스타일 유지가 예방에 도움을 줄 수 있습니다.